¿Qué es la Rehabilitación Oral?
La rehabilitación oral es la parte de la Odontología encargada de la restauración; es decir, devuelve la función estética y la armonía oral. Para que la rehabilitación oral sea óptima, requiere de modernos procedimientos, tecnología de punta y trabajar de la mano con otras disciplinas de la odontología, como la periodoncia, endodoncia, implantología y ortodoncia.
Prótesis Dentales
Una prótesis dental es un elemento artificial que sirve para restaurar la anatomía de uno o varios dientes, consiguiendo que el paciente recupere la funcionalidad y estética de su dentición.
Las prótesis dentales se fabrican de manera personalizada en materiales como el acrílico, porcelana, zirconia, etc.


Tipos de prótesis dentales
Existen diferentes tipos de prótesis dentales: las prótesis dentales completas, cuando reemplazan todos los dientes de una de las arcadas, o parciales, si solo sustituyen algunos dientes.
La prótesis dental fija
Las prótesis fijas son aquellas que no pueden ser retiradas por el paciente, es decir, deberán ser extraídas por un dentista en el caso de que quieran ser desalojadas.
Dentro de las prótesis dentales fijas, se encuentra la siguiente clasificación de tipos de prótesis dentales:
- Coronas o puentes fijos dentosoportados.
- Prótesis fija sobre implantes.
- Prótesis híbridas sobre implantes
La prótesis dental removible
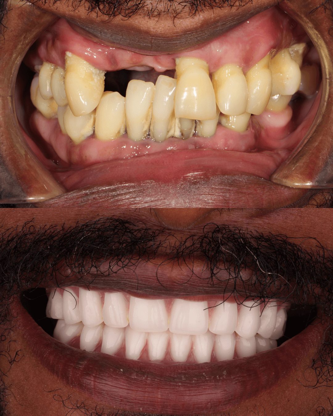
Fotos de los resultados exitosos de nuestros pacientes con Rehabilitación Oral
En Dental Cibao Spa contamos con especialistas en la Rehabilitación Oral, a continuación presentamos algunos casos con resultados sorprendentes. ¡Tu también puedes venir a Sonreír con Nosotros, haz tu cita Ahora!







